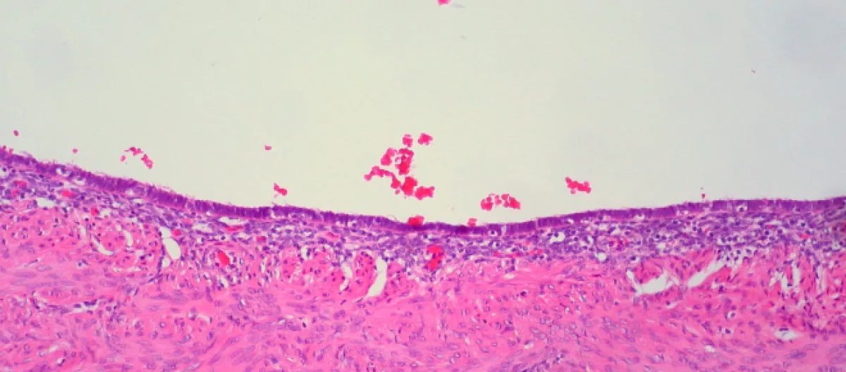
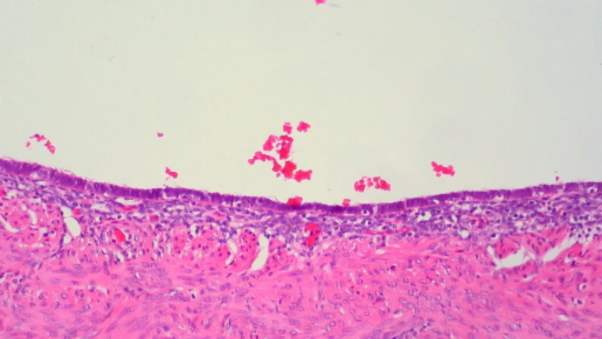
The findings of a study, recently published in the Human Reproduction journal, showed that women who have faced severe physical or sexual abuse in childhood had a 79 percent higher risk of having a laparoscopically-confirmed endometriosis diagnosis, compared to those who faced neither. The study participants' risk of having the condition increased in a “dose-response” manner depending on the duration, severity, and accumulation of the abuse types the women experienced, according to Dr.

Holly R. Harris, lead author of this study and an epidemiologist at the Fred Hutchinson Cancer Research Center.

The study also showed that these early traumatic experiences increased the likelihood that the women would be diagnosed with endometriosis as a result of their pain symptoms. The data of the women involved in the study was collected over 24 years (between 1989 and 2013) during their participation in the Nurse's Health Study II.

Why this study matters

Dr. Harris believes that the findings of this research seem to add to a growing body of evidence suggesting that early traumatic experiences impact inflammatory processes in the body, as well as the production of stress hormones.

These physiological effects are considered to be instrumental in the development of pain syndromes, including chronic pelvic pain – a key symptom of endometriosis.

According to her, the findings of this study appear to show that similar mechanisms are also at play when it comes to the development of endometriosis in women who had these experiences, although the mechanisms of the biological impact of childhood trauma on endometriosis risk are yet to be fully understood. However, Dr. Harris emphasizes that these findings do not mean that every woman diagnosed with endometriosis has been abused, but rather, that these early-life adverse events are not rare and can lead to many health consequences.

Dr. Harris also adds that the potential mechanisms linking trauma with endometriosis suggested by these findings may also overlap with other chronic conditions. “It [this research] also adds evidence to potential overlap in underlying biology with better-understood diseases that receive greater clinical and scientific focus such as migraines or high blood pressure,” she says.

What can be done about this?

Dr. Harris says that ending the acceptance of what she calls “entirely man-made traumas” is key to reducing the impact they have on the health of the population. She says, however, that experts are working on strategies that can help combat the effects of the stress from these traumas on a population level: “Scientists and clinicians are increasingly focused on identifying actions or interventions that individuals and communities can take to counteract the effects of stress.”